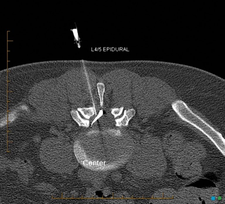
Steroid Shot For Back Pain

Steroid Shot For Back Pain. Steroids can be injected into joints, muscles, tendons, the spine, or bursae. Esi is not the same as epidural anesthesia given just before childbirth or certain types of surgery.

Steroid Injections vs Spinal Cord Stimulator Treatment
Steroid Injections vs Spinal Cord Stimulator Treatment from mackinawsurgerycenter.com

But why are they so effective? Epidural steroid injections for low back pain. Many studies have shown their effectiveness in managing symptoms of lower back pain.

Which Conditions Are Steroid Shots Used To Treat?


Smaller muscles will usually hurt more. Caudal injections are quick, outpatient procedures. Caudal injections are steroid shots administered to the low back.

Steroids Can Be Injected Into Joints, Muscles, Tendons, The Spine, Or Bursae.


Typically, cortisone shots include a corticosteroid medication to relieve pain and inflammation over time and an anesthetic to provide immediate pain relief. Epidural steroid injection (esi) has been used as a treatment for low back pain for over 50 years. Esi is not the same as epidural anesthesia given just before childbirth or certain types of surgery.

The Medication Is Then Released Into The Injection Site.


But there are side effects. Epidural injections for back pain. They can be used to treat problems such as joint pain , arthritis, sciatica and inflammatory bowel disease.

On Average, Pain Relief From The Shots Lasts About 3 Months.


Epidural steroid injections are commonly used to treat back pain caused by a herniated disc (slipped disc), lumbar radiculopathy, spinal stenosis or sciatica. In the last 10 to 15 years, there has been a significant increase in the use of esis for the treatment of low back pain and radicular pain without clear improvements in outcomes. But why are they so effective?

Many Studies Have Shown Their Effectiveness In Managing Symptoms Of Lower Back Pain.


1 but that may be enough time for your back to heal so your pain doesn't come back. Steroid injections can be a key part of a treatment plan for many autoimmune and joint conditions. Complications are rare but may include infection and bleeding.

Steroid Shot For Back Pain. There are any Steroid Shot For Back Pain in here.